Coroscanner
Le coroscanner (angioscanner coronarien) : examen clé de l’imagerie coronarienne
1. Introduction
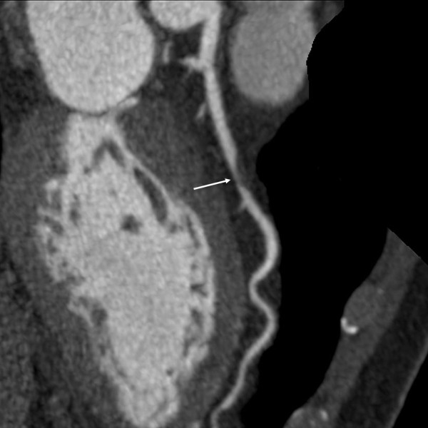
Le coroscanner, ou angioscanner coronarien (Coronary CT Angiography — CCTA), est un examen d’imagerie non invasif qui permet de visualiser avec une très haute résolution les artères coronaires grâce à un scanner injecté synchronisé à l’ECG.
Il s’agit aujourd’hui de l’un des examens majeurs pour évaluer :
- la présence de sténoses coronaires,
- le type et la composition des plaques athéromateuses,
- les anomalies de naissance ou de trajet des artères coronaires,
- les pontages et certains stents (selon leur calibre et la qualité des images).
2. Principes de l’examen
Le coroscanner repose sur :
- l’utilisation d’un scanner multibarrette (64 coupes ou plus, parfois double source),
- une injection de produit de contraste iodé pour opacifier la lumière des artères,
- une synchronisation à l’ECG (acquisition prospective ou rétrospective),
- des techniques de réduction de dose (basse tension, reconstruction itérative).
L’objectif est d’obtenir des images relativement « figées » du cœur, idéalement en diastole, lorsque les artères coronaires bougent le moins.
3. Déroulement de l’examen
Préparation et entretien pré-examen
Recueil des antécédents (allergies, insuffisance rénale, maladies cardiaques, traitements en cours) et évaluation du rythme cardiaque.Préparation médicamenteuse (si nécessaire)
- Bêtabloquants pour ralentir la fréquence cardiaque (objectif souvent < 60 bpm).
- Dérivés nitrés pour favoriser la vasodilatation coronarienne (variable selon les protocoles).
- Bêtabloquants pour ralentir la fréquence cardiaque (objectif souvent < 60 bpm).
Installation et repérage
Le patient est allongé en décubitus dorsal sur la table, avec une voie veineuse périphérique de bon calibre (souvent bras droit). Des repérages non injectés sont réalisés.Acquisition synchronisée à l’ECG
L’acquisition principale est effectuée pendant une apnée courte (quelques secondes). Le scanner enregistre les données en tenant compte du cycle cardiaque, ce qui permet une reconstruction centrée sur la phase la plus stable.Injection de produit de contraste iodé
L’injection se fait à l’aide d’un injecteur automatique, avec un débit élevé, et un suivi de bolus (bolus tracking) permet de déclencher l’acquisition au moment optimal.Reconstruction des images
Les images sont reconstruites dans différents plans :- MPR (reconstructions multiplanaires),
- MIP (Maximum Intensity Projection),
- VR (Volume Rendering 3D).
- MPR (reconstructions multiplanaires),
4. Indications principales
Les principales indications du coroscanner sont :
- Suspicion de maladie coronarienne stable chez un patient avec un risque cardiovasculaire faible ou intermédiaire.
- Évaluation de douleurs thoraciques atypiques lorsque la probabilité de maladie coronarienne significative n’est pas élevée.
- Exploration de malformations coronaires congénitales (origine anormale, trajet interartériel, etc.).
- Bilan préopératoire (par exemple avant une chirurgie valvulaire type TAVI, certaines chirurgies cardiaques ou vasculaires).
- Contrôle des pontages aorto-coronariens (perméabilité des greffons).
- Évaluation de stents coronaires de calibre suffisant (souvent ≥ 3 mm, selon le scanner et les conditions).
5. Contre-indications et précautions
5.1 Contre-indications relatives ou absolues
- Allergie sévère documentée aux produits de contraste iodés.
- Insuffisance rénale sévère (clairance de la créatinine très diminuée), sauf stratégie spécifique discutée.
- Troubles du rythme importants (fibrillation auriculaire rapide, extrasystoles fréquentes) rendant la synchronisation difficile.
- Tachycardie non contrôlable malgré les bêtabloquants.
- Incapacité à maintenir une apnée correcte (dyspnée sévère, anxiété majeure).
5.2 Précautions
- Vérifier la fonction rénale avant l’injection (créatininémie, DFG estimé).
- Adapter ou interrompre transitoirement certains traitements (ex. metformine) selon les recommandations locales.
- Surveillance accrue chez les patients à risque de réaction allergique (pré-médication éventuelle).
6. Informations fournies par le coroscanner
Le coroscanner permet une analyse très détaillée des coronaires :
6.1 Anatomie coronarienne
- Origine des artères coronaires (gauche, droite, anomalies d’émergence).
- Trajets des segments proximaux, moyens et distaux.
- Dominance coronaire (droite, gauche ou équilibrée).
- Présence d’anomalies de trajet (intramyocardique, interartériel, etc.).
6.2 Plaques et athérosclérose
Le coroscanner permet d’identifier et de caractériser les plaques athéromateuses :
- Plaques calcifiées,
- Plaques non calcifiées,
- Plaques mixtes.
Certaines caractéristiques sont associées à une vulnérabilité accrue :
- faible densité,
- remodelage positif,
- calcifications ponctuées (spotty calcifications),
- aspect en « napkin-ring sign ».
6.3 Sténoses coronaires
Le coroscanner évalue :
- le taux de rétrécissement luminal (en %),
- la localisation des sténoses,
- le nombre de vaisseaux atteints (mono, bi ou tritronculaire),
- l’aspect de la plaque responsable (molle, calcifiée, mixte).
6.4 Pontages et stents
- Analyse de la perméabilité des pontages (saphènes, artériels).
- Évaluation des stents de calibre suffisant (limites pour les stents de petit diamètre ou très calcifiés).
7. Performance diagnostique
Les performances du coroscanner ont été largement étudiées et montrent :
- une sensibilité très élevée (souvent > 90 %) pour la détection des sténoses coronaires significatives,
- une spécificité variable (souvent 70–90 %, réduite en cas de calcifications massives),
- surtout une valeur prédictive négative (VPN) excellente, pouvant atteindre 95–99 % dans certaines cohortes.
En pratique, un coroscanner de bonne qualité normal (sans sténose significative) permet d’écarter avec une grande confiance une maladie coronarienne obstructive.
8. Limites de l’examen
Malgré ses qualités, le coroscanner présente certaines limites :
- Calcifications massives : les artefacts de blooming peuvent gêner la visualisation de la lumière et réduire la spécificité.
- Troubles du rythme : fibrillation auriculaire, extrasystoles nombreuses peuvent entraîner des artefacts de mouvement.
- Obésité importante : augmentation du bruit d’image, parfois besoin d’augmenter la dose.
- Stents de petit diamètre : difficile d’analyser la lumière interne.
- Nécessité d’une coopération du patient (apnée correcte).
9. Comparaison avec les autres examens coronaires
Coroscanner (CCTA)
- Type d’information : anatomique
- Points forts : VPN très élevée, non invasif, analyse des plaques
- Principales limites : irradiant, produit iodé, spécificité réduite si calcium important
Épreuve d’effort ECG
- Type d’information : fonctionnelle
- Points forts : simple, peu coûteuse
- Principales limites : sensibilité et spécificité limitées
Échocardiographie de stress
- Type d’information : fonctionnelle
- Points forts : non irradiant, bonne évaluation du myocarde
- Principales limites : opérateur-dépendant, fenêtre acoustique parfois limitée
Scintigraphie myocardique
- Type d’information : fonctionnelle
- Points forts : bonne sensibilité pour l’ischémie
- Principales limites : irradiant, disponibilité variable
IRM cardiaque de stress
- Type d’information : fonctionnelle + tissulaire
- Points forts : excellente résolution tissulaire, non irradiant
- Principales limites : examen plus long, contre-indications IRM possibles
Coronarographie invasive
- Type d’information : anatomique + thérapeutique
- Points forts : gold standard, possibilité d’angioplastie
- Principales limites : examen invasif, risques de complications, hospitalisation
10. Dose d’irradiation et sécurité
Grâce aux progrès techniques (acquisitions prospectives, basse tension, reconstruction itérative), la dose d’irradiation d’un coroscanner moderne peut être réduite à :
- ≈ 1 à 4 mSv, selon les protocoles et le matériel.
Cela reste généralement inférieur ou comparable à certains autres examens d’imagerie thoracique ou cardiologique.
La sécurité du produit de contraste repose sur :
- la vérification de la fonction rénale,
- l’identification des antécédents d’allergie ou d’intolérance,
- l’hydratation adaptée et la prévention des complications.
11. Classification CAD-RADS
La classification CAD-RADS (Coronary Artery Disease – Reporting and Data System) est un système de notation développé par l’American College of Radiology (ACR) pour aider à normaliser les rapports de coroscanner et faciliter la communication des résultats. La classification CAD-RADS 2.0 utilise une échelle de 0 à 5 pour classer la maladie coronarienne.
12. Place du coroscanner dans la prise en charge globale
Le coroscanner occupe une place centrale dans la stratégie diagnostique de la maladie coronarienne :
- outil de choix pour exclure une maladie coronarienne significative chez des patients sélectionnés ;
- complément utile aux tests fonctionnels, notamment lorsque ceux-ci sont non concluants ;
- aide à la stratification du risque et à la planification d’éventuelles stratégies de revascularisation.
13. Conclusion
Le coroscanner est devenu un pilier de l’imagerie cardiovasculaire moderne. Il combine :
- une excellente valeur prédictive négative,
- une visualisation fine de l’anatomie coronarienne et des plaques,
- un caractère non invasif,
- une irradiation maîtrisée grâce aux techniques récentes.
Son utilisation doit être intégrée dans une approche globale, en tenant compte du profil de risque du patient, de la probabilité pré-test et des autres examens disponibles, afin d’optimiser la prise en charge de la maladie coronarienne.


